差し歯にする前に。白さは、戻せる時代です。
神経がない歯、白くできます。
“治療”じゃなくて“美容メンテ”の選択肢。


日比谷店 03-3503-4618
渋谷店 03-3464-8211
前歯が部分的に変色して気になっていませんか?神経が死んでしまったり神経を取り除いてしまうと、時間とともに歯は徐々に変色してきます。神経がない歯を普通のホワイトニングで白くすることはできません。ティースアートでは神経がない歯でも削らずに白くできる特別な方法をご用意しています。
神経がない歯でも白くできるホワイトニング=パワーブリーチ
神経がない歯を白くするオフィスホワイトニング。歯に負担がかからずに白くすることができます。効果が高いホワイトニングと組み合わせることで1回で白くすることも可能です。


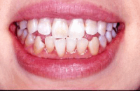
ブライトホワイトとパワーブリーチの併用1回の施術例(上の前歯)
費用:66,000円(税込72,600円)
パワーブリーチは下記の手順で行います。

施術料
パワーブリーチの準備(歯の裏に詰めてある樹脂の除去)
1本4,000円(税込 4,400円)
パワーブリーチ
1本1回 2,000円(税込 2,200円)
樹脂の詰め直し(除去した樹脂を再度詰める施術)
1本3,000円(税込 3,300円)
パワーブリーチのメリット
- ウォーキングブリーチと異なり、歯の根や骨に影響がありません。
- 神経がない歯でも白くすることができます。
- 他の効果の高いホワイトニングと併用して行うことができます。
パワーブリーチのデメリット
- 単独でパワーブリーチを行う場合は、回数がかかってしまう場合があります。
- 神経がある歯や神経の治療が不完全な歯などはできません。
- パワーブリーチを行う歯の裏側に矯正後の固定式のリテーナーが付いている場合はパワーブリーチができません。
神経がない歯でも1回で理想の白さに=パーマネントマニキュア
市販の歯のマニキュアは爪のマニキュア同様に徐々にはがれてしまいますが、パーマネントマニキュアは特殊な樹脂を歯に塗って固めるため、一回でムラもなく真っ白な歯にすることができ、定期的なお手入れによって数年間使用することができます。神経がない歯、テトラサイクリンによる変色、差し歯や銀歯も白くすることができます。セラミックに比べて費用は1/10程度。かなり安く白くすることができます。
※パーマネントマニキュアはティースアート独自の技術です。白さと透明感の違う15種類のカラーからご希望の色をお選びいただけます。
※色と材質により、お値段が変わります(1本9,900円~22,000円)
歯を削らずに歯に樹脂を塗って歯の変色を隠すことができます。1回で完了します。


神経がない歯のマニキュア施術例(上の前歯)
写真の費用:1本17,000円(税込18,700円)
パーマネントマニキュアのメリット
- 差し歯や銀歯にも使用することが可能で、1回で白くすることができます。
- 神経のない歯やテトラサイクリン変色歯でも白くすることができます。
- 歯を削らずに数年間使用することができますので、差し歯や銀歯を高額なセラミックにやり替える前に、マニキュアを試してみることができます。
- 歯を削らないため、マニキュアを外せば元の歯に戻ります。
- パーマネントマニキュアは数年で着色、変色する場合がありますが、セラミックのベニアとは違い、何度でもやり替えることができます。
パーマネントマニキュアのデメリット
- マニキュアは、セラミックや差し歯などの人工の歯にも施術できますが、天然の歯に比べて接着力は弱くなります。
- パーマネントマニキュアは歯を削らずに樹脂を塗って白くするため、若干の厚みが出てしまいます。
- 施術時間が1本あたり30分程度かかります。
- エナメル質より着色しやすいため、クリーニングなど定期的なメンテナンスが必要です。
- 元の歯の色が濃い場合、マニキュア本来の色が出せないことがあります。
- 一本のみの場合、周りの歯と完全に合わせるのが難しい場合があります。
- 完全に外す際には専用の器具を使用して外す必要があります。
POINT※料金は安心の都度払いです
ティースアートではあらかじめかかる費用をお客様にお伝えし、ご了承いただいてから施術に入らせていただいております。またその日に行った費用をその都度いただいております。何回かに渡るコースや分割、ローンを組むようなことはございません。ご利用いただきましたすべてのお客様にご満足いただけますよう、スタッフ一同努力してまいります。皆様のご利用をお待ちしております。
ティースアートでは現在の歯の状態を拝見してアドバイスをさせていただいております。自分の歯でもマニキュアが可能かどうか、どれくらいの白さになるか、不自然にならないかなど実際にマニキュアの試し塗りも行ってカウンセリングさせていただいております。試し塗り後のマニキュアのキャンセルは無料です。ご相談だけでもお受けしておりますので、ぜひ一度お越しください。きっとご満足いただけると思います。
神経がない歯のホワイトニング、歯のマニキュアは下記の店舗でお取扱しています。今すぐご予約を
ティースアート日比谷店 日比谷シャンテ地下1階 03-3503-4618
ティースアート渋谷店 渋谷セルリアンタワー東急ホテル3階 03-3464-8211
または予約フォームまでお願いいたします。
ティースアートとは
ティースアートは1995年にホワイトニングサロンの先駆けとして、銀座にオープンしました。パーマネントマニキュアを開発したDr.TSUBAKIはアメリカと日本の審美学会の認定医で、第一線で活躍しています。ティースアートのホワイトニング、マニキュアは他に類を見ない長年の技術とノウハウが詰まっています。

