電話
予約
お問い合わせ
店舗案内
お知らせ
コラム
ティースアート代表

どっちが先?専門医が教えるホワイトニングと他の治療の組合せ時期とは?





最終更新日 2024年7月23日
監修:アメリカ審美歯科学会認定医、歯学博士 椿 知之

ホワイトニングと他の治療とのコンビネーションのタイミングお教えします
<2024年度版>>

他の治療のコンビネーション

ホワイトニングをする際に他の治療を同時に行うことがあります。かかりつけの歯科医院があってもホワイトニングだけ専門の歯科で受ける方も多いと思います。歯の治療の予定があるけど先にホワイトニングを受けてしまって大丈夫?と思ったことはありませんか?このコラムでは歯の治療別にホワイトニングをするタイミングについて解説します。

目次

1.ホワイトニングと歯のクリーニング

2.ホワイトニングとセラミック治療

3.ホワイトニングと虫歯治療

4.ホワイトニングと歯周病治療

5.ホワイトニングと矯正治療

6.ホワイトニングとインプラント治療

7.ホワイトニングと歯のマニキュア

8.ホワイトニングと歯ぐきのピーリング

9.ホワイトニングとホワイトスポット治療

10.まとめ

1.ホワイトニングと歯のクリーニング

歯の表面に汚れや着色があるとホワイトニングの効果が十分に発揮されません。ホワイトニングの前にクリーニングを受けておきましょう。また歯石取りをした後は歯がしみやすくなっているため、できればホワイトニングの前日までに歯石取りを済ませたほうがいいでしょう。

歯のクリーニングで歯を白くできる?

歯のクリーニング

2.ホワイトニングとセラミック治療

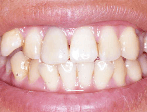
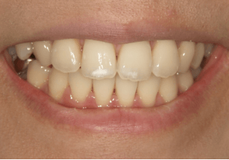
セラミックなどの人工物はホワイトニングで白くすることができないため、セラミックの色を決める前にホワイトニングを行います。先にセラミックを入れてしまうとセラミックの色に他の歯をホワイトニングで合わせることはかなり難しくなってしまいます。また既存のセラミックはそのままで他の歯をホワイトニングをする場合は、ホワイトニング後にセラミックにマニキュアをして色を合わせることも可能です。

セラミック治療
ホワイトニング後、上の前歯のセラミック治療

差し歯のホワイトニング

3.ホワイトニングと虫歯治療

ホワイトニングをしたい歯に大きな虫歯がある場合は原則、虫歯治療を先に行います。ただ虫歯が小さい場合は先にホワイトニングをしてから虫歯治療を行うことも可能です。また虫歯の治療で樹脂の詰め物がある場合は、詰め物はホワイトニングで白くなりませんのでホワイトニング終了後に詰め物をやり替えるときれいにすることができます。

※ホワイトニング直後は歯の乾燥により白っぽく見えます。またホワイトニング直後は詰め物に使用する接着剤の効果が弱くなっています。そのためホワイトニング後2~3週間空けてから歯の詰め物をすることをお勧めします。

4.ホワイトニングと歯周病治療

ホワイトニングを行う歯にひどい歯周病がある場合は歯周病の治療が先になります。ただ歯周病が軽度の場合や歯肉炎程度でしたらホワイトニングを先に行うことができますが、歯ぐきから出血しているような場合はホワイトニングはできません。

5.ホワイトニングと矯正治療

裏側矯正やマウスピース矯正の場合は矯正治療中でもホワイトニングは可能ですが、表からのワイヤー矯正の場合は難しくなります。見える部分だけでも白くしておきたい場合は矯正装置を付ける前にホワイトニングをしておき、矯正終了後に再度ホワイトニグをするといいでしょう。

矯正治療

矯正治療中のホワイトニング

6.ホワイトニングとインプラント治療

インプラントは治療前、治療中、治療後のどのタイミングでもホワイトニング可能です。ただインプラント手術後にセラミックを入れますので、セラミックを入れる前にホワイトニングをしておいたほうがいいでしょう。

7.ホワイトニングと歯のマニキュア

歯のマニキュアをする予定がある場合はホワイトニングを先に行い、白くなった周りの歯に合せてマニキュアを行います。先にマニキュアをしてしまいますとセラミック同様にホワイトニングで色を合わせることが難しくなります。

歯のマニキュア

歯のマニキュア
ホワイトニング後に上の前歯1本のマニキュア

8.ホワイトニングと歯ぐきのピーリング

歯ぐきのピーリングを行った直後はホワイトニングができません。ホワイトニングと同じ日にピーリングを行う場合は先にホワイトニングを行います。

黒い歯ぐきの治療方法

9.ホワイトニングとホワイトスポット治療

ホワイトスポットはホワイトニングで目立ってきます。特に今までわからなかったホワイトスポットがホワイトニングで出てくることもあります。そのためホワイトニングを行ってからホワイトスポットの治療を行ったほうがいいでしょう。特にアイコン治療を行った部分はホワイトニングの効果が弱くなりますので、先にホワイトニングを行ってください。

ホワイトスポットの治療法

ホワイトスポット治療

10.まとめ

ホワイトニングと他の治療を同時期に行う場合、順番を間違えてしまうと再治療が必要になってしまう場合があります。治療を予定している場合は、ホワイトニングを受ける歯科で事前にご相談ください。

PAGE TOP